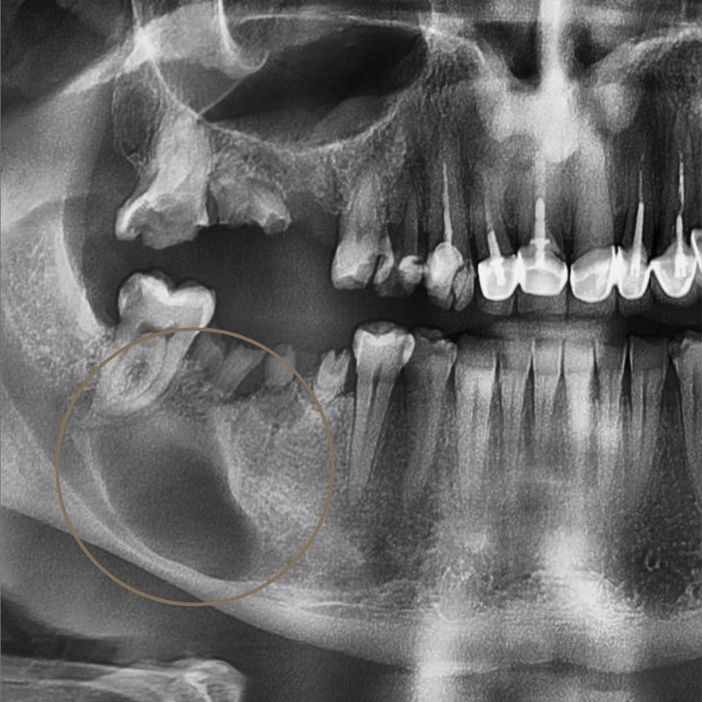
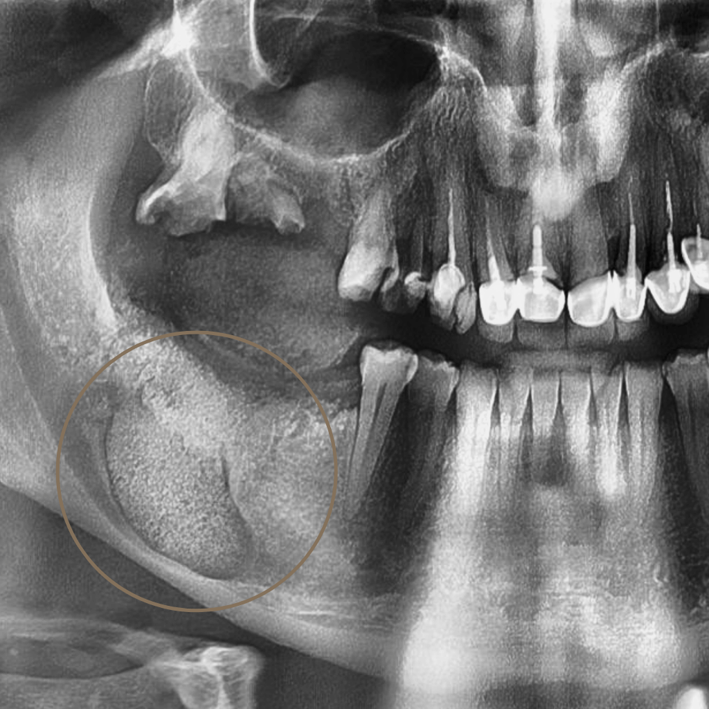
Тумори и кисти

Промени в костта или меките тъкани на лицево-челюстната област изискват прецизна диагностика и ясен терапевтичен план. Навременното установяване на характера на лезията е ключово за правилното лечение и прогнозата.

КОГАТО ИМА НЕЩО ПОВЕЧЕ ОТ ‘СЯНКА НА СНИМКАТА’

В лицево-челюстната област туморите и кистите могат да засегнат костните структури, венците, езика, бузите и други тъкани на устната кухина. В клиничната практика се срещат както доброкачествени образувания, така и предтуморни или злокачествени състояния, които изискват навременна и точна диагностика.

В Aesthetico прилагаме съвременни диагностични методи с цел прецизно определяне на характера на находката. Хирургичното лечение се извършва щадящо и контролирано, с фокус върху безопасността, пълното отстраняване на патологичната тъкан и оптималното възстановяване.

КАК ПРОТИЧА ПРОЦЕДУРАТА​

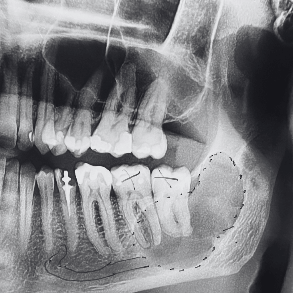
Преглед и диагностика

Извършва се клиничен преглед и анализ на образните изследвания, за да се оцени локализацията, обемът и характерът на формацията.

Биопсия и планиране

При необходимост се извършва биопсия за уточняване на диагнозата или се планира хирургично отстраняване на формацията, в зависимост от клиничния случай.

Хирургично отстраняване

Интервенцията се извършва под локална или обща анестезия, в зависимост от големината, разположението и индивидуалните особености на случая.

Патохистологично изследване

Отстранената тъкан се изпраща за анализ в специализирана лаборатория.

Възстановяване и проследяване

След лечението се провеждат регулярни контролни прегледи и образно проследяване. При необходимост се планират последващи възстановителни процедури, като костна регенерация, имплантология или протетика.

Жена с къдрава коса и блестяща усмивка, замислена и игриво поставила пръст върху брадичката си

ЗА КОГО Е ПОДХОДЯЩО

Процедурите по диагностика и лечение са подходящи при:

  • Кистозни образувания в костта или меките тъкани
  • Доброкачествени туморни формации
  • Неясни находки при образни изследвания
  • Промени, свързани с подуване, болка или асиметрия

Повечето формации са доброкачествени, но изискват лечение и проследяване. Навременната намеса намалява риска от усложнения и подпомага възстановяването.

имате въпрос?

ЧЕСТО ЗАДАВАНИ ВЪПРОСИ

Всички кисти и тумори ли се премахват?

Не във всички случаи. Подходът зависи от вида, размера, локализацията и поведението на формацията. Някои находки подлежат на активно проследяване, други – на хирургично лечение.

Процедурата болезнена ли е?

Процедурата се извършва под подходяща анестезия и не е болезнена. Следоперативният дискомфорт обикновено е лек, краткотраен и подлежи на контрол.

Задължително ли е хистологично изследване?

Патохистологичният анализ е ключов за поставяне на точна диагноза и определяне на последващото поведение.

Всички образувания ли са опасни?

Голяма част от формациите са доброкачествени, но точният им характер може да бъде определен само след диагностика и хистологично изследване.

Колко време отнема възстановяването?

Възстановяването зависи от обхвата на интервенцията. В повечето случаи пациентите се връщат към обичайния си ритъм в рамките на няколко дни до 2 – 3 седмици.

Тумори и кисти

Промени в костта или меките тъкани на лицево-челюстната област изискват прецизна диагностика и ясен терапевтичен план. Навременното установяване на характера на лезията е ключово за правилното лечение и прогнозата.