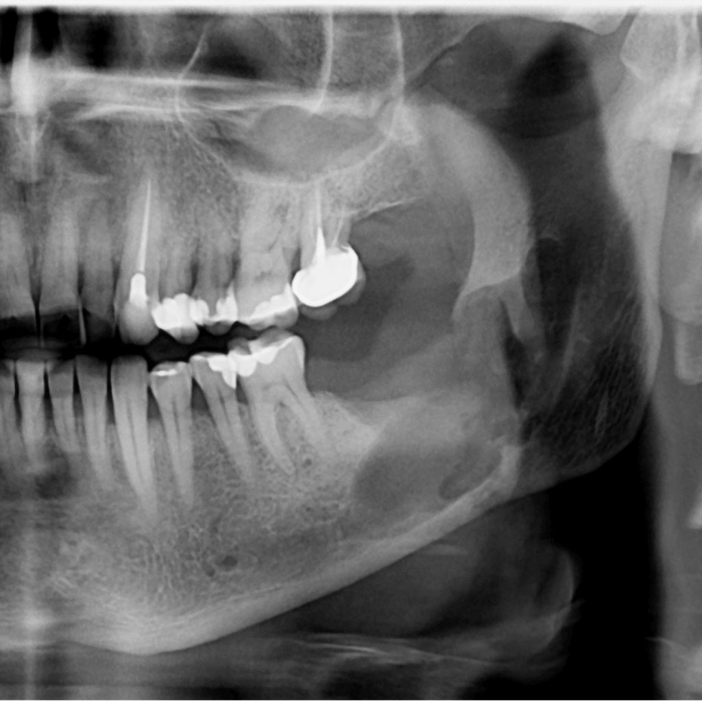
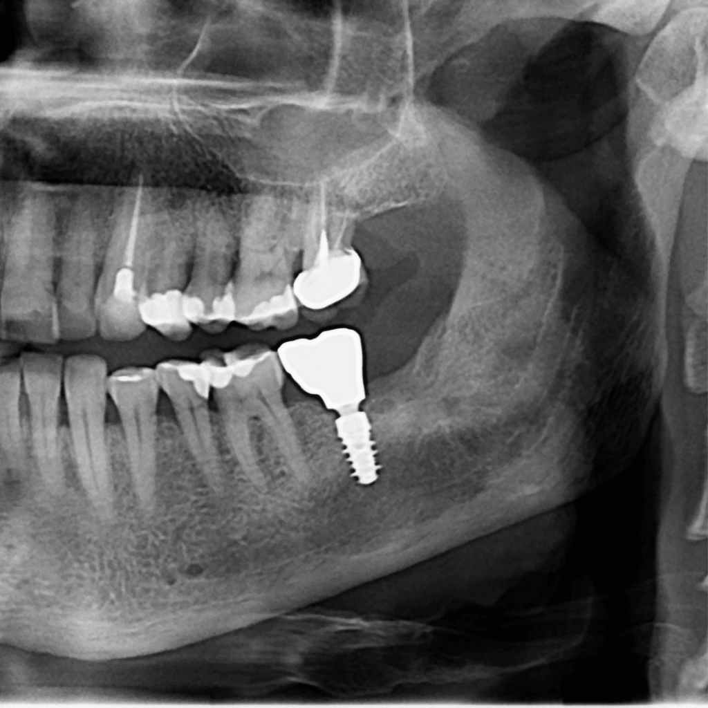
Денталните импланти са съвременно решение за възстановяване на липсващи зъби, което позволява стабилна функция и естествено усещане. Те заместват корена на липсващия зъб и служат като основа за коронка, мост или по-голяма конструкция. Имплантологичното лечение цели не само възстановяване на дъвкателната функция, но и запазване на костта и дългосрочна стабилност на захапката.


