Ендодонтия

Когато зъбът е засегнат в дълбочина, целта не е просто да се премахне болката, а да се запази зъбът функционален и стабилен във времето. Ендодонтското лечение позволява това – прецизно, контролирано и щадящо.

ЕНДОДОНТСКО ЛЕЧЕНИЕ В НАШАТА КЛИНИКА

В Aesthetico подхождаме към кореновото лечение като към фина микрохирургична работа.
Работим с увеличителна оптика, съвременна апаратура и доказани протоколи, които ни позволяват да лекуваме с висока точност и предвидим резултат.

Фокусът ни е върху дългосрочното запазване на зъба, минималната травма за околните тъкани и комфортa на пациента по време на цялото лечение.

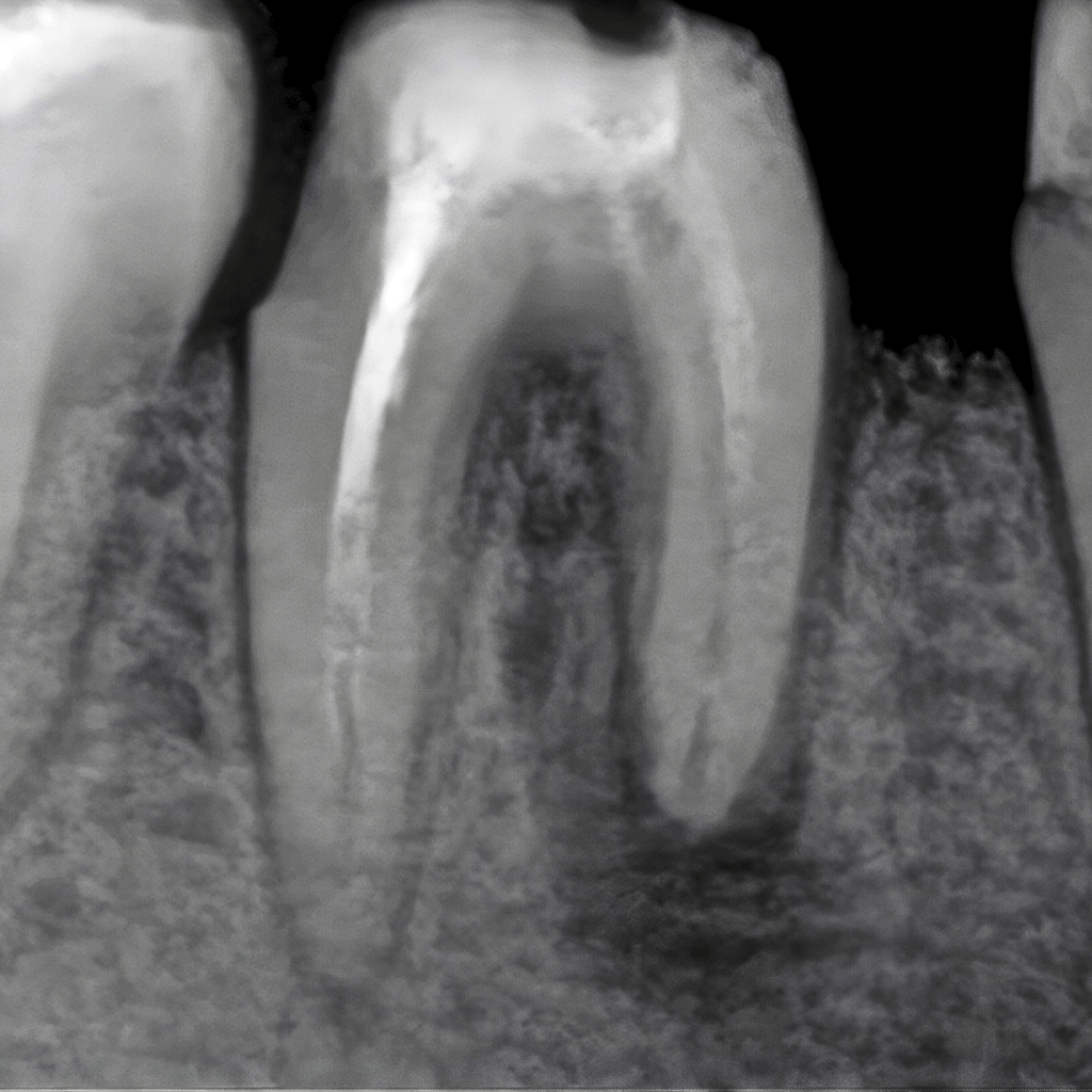
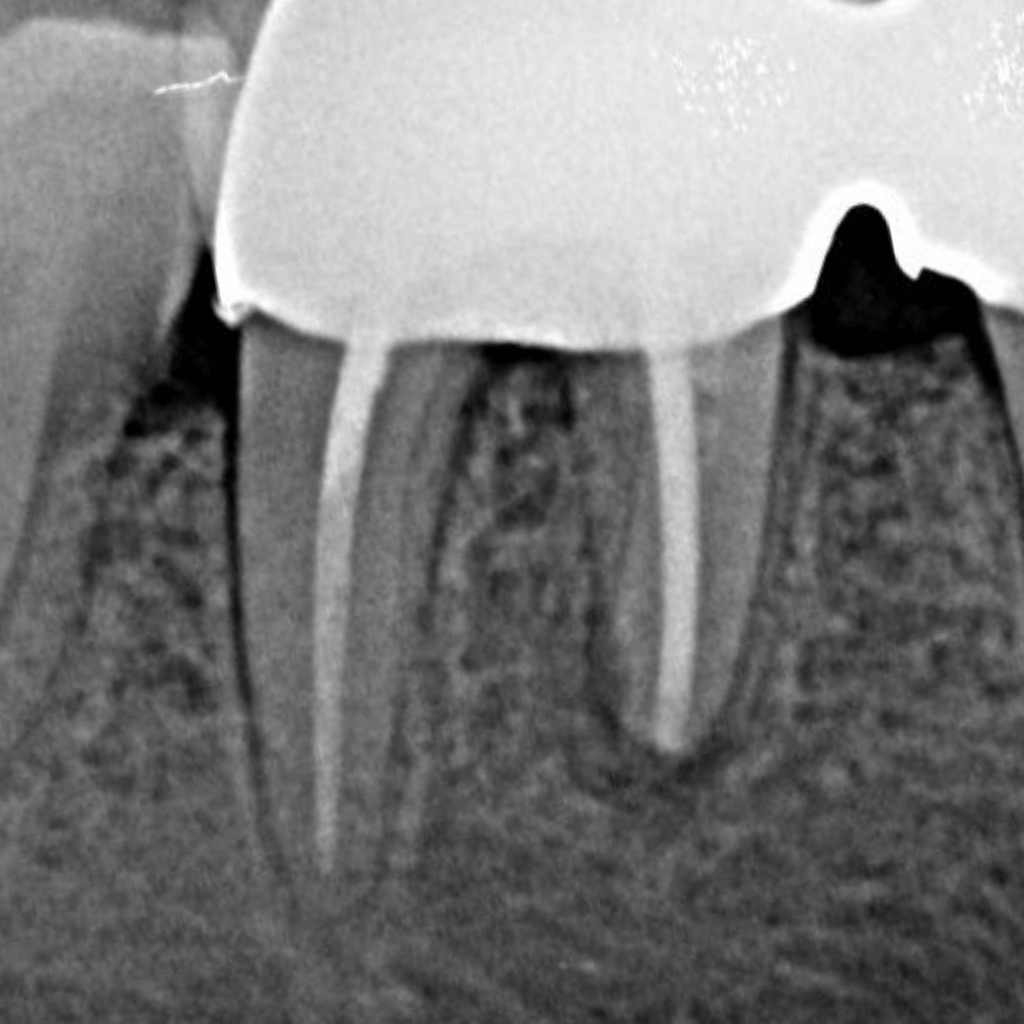
КАК ПРОТИЧА ПРОЦЕДУРАТА

Преглед и консултация

Оценяваме състоянието на зъба и кореновата система чрез клиничен преглед и образна диагностика, за да планираме лечението прецизно.

Почистване на канали

Инфектираните тъкани се отстраняват внимателно, а каналите се обработват механично и ръчно, с цел пълно почистване.

Дезинфекция и оформяне

Каналите се дезинфекцират и оформят така, че да бъдат подготвени за надеждно запълване.

Запълване на канали

Кореновите канали се запълват херметично с биосъвместим материал, който предотвратява повторна инфекция.

Финално възстановяване

След лечението зъбът се възстановява с фотополимерна пломба или корона, в зависимост от степента на увреждане.

Жена с къдрава коса и блестяща усмивка, замислена и игриво поставила пръст върху брадичката си

ЗА КОГО Е ПОДХОДЯЩО

Ендодонтското лечение е подходящо при:

  • Зъби с дълбоки кариозни лезии
  • Възпаление или инфекция на пулпата (нерв)
  • Зъби, засегнати от травма или счупване
  • Зъби с предходно неуспешно лечение

Лечението позволява запазване на зъба и предотвратява необходимостта от екстракция, като съхранява неговата функция и естетика.

имате въпрос?

ЧЕСТО ЗАДАВАНИ ВЪПРОСИ

Болезнена ли е процедурата?

Лечението се извършва с подходяща локална анестезия и в повечето случаи се понася спокойно и без болка.

Колко време отнема?

В зависимост от сложността, лечението може да се извърши в едно или повече посещения.

Ще се наложи ли поставяне на корона?

При силно разрушени зъби често се препоръчва поставяне на корона, за да се осигури дълготрайна стабилност.

 

Колко дълго може да се запази лекуван зъб?

При правилно изпълнено лечение и добра поддръжка, ендодонтски лекуваният зъб може да служи дълги години.

Ендодонтия

Когато зъбът е засегнат в дълбочина, целта не е просто да се премахне болката, а да се запази зъбът функционален и стабилен във времето. Ендодонтското лечение позволява това – прецизно, контролирано и щадящо.