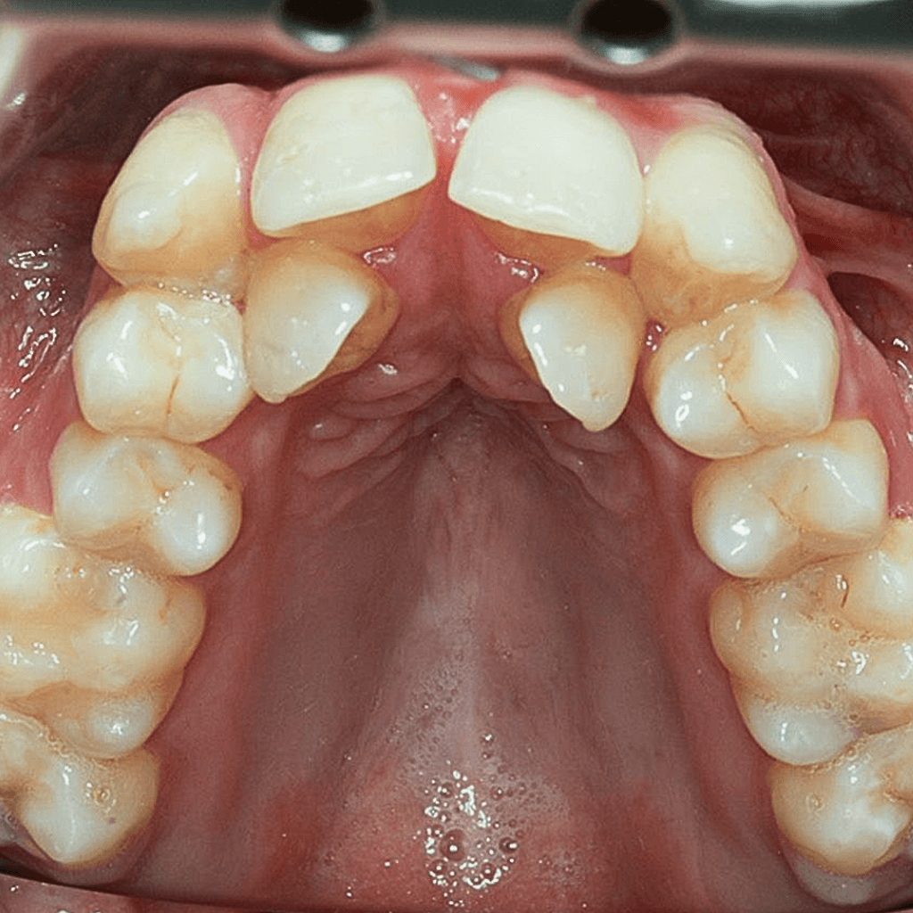
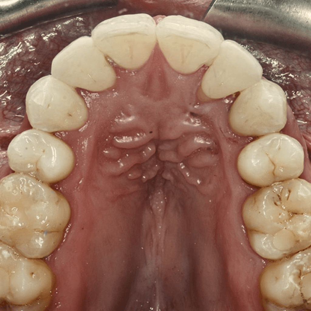
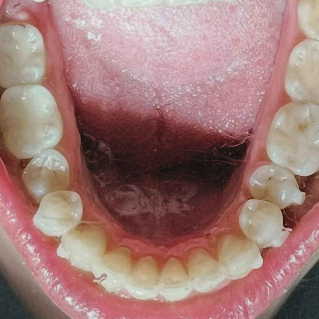
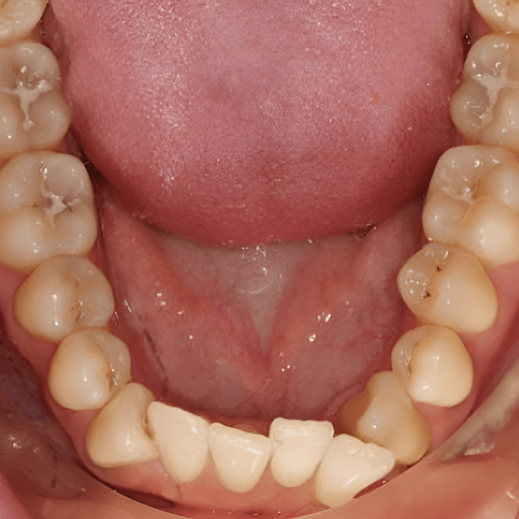
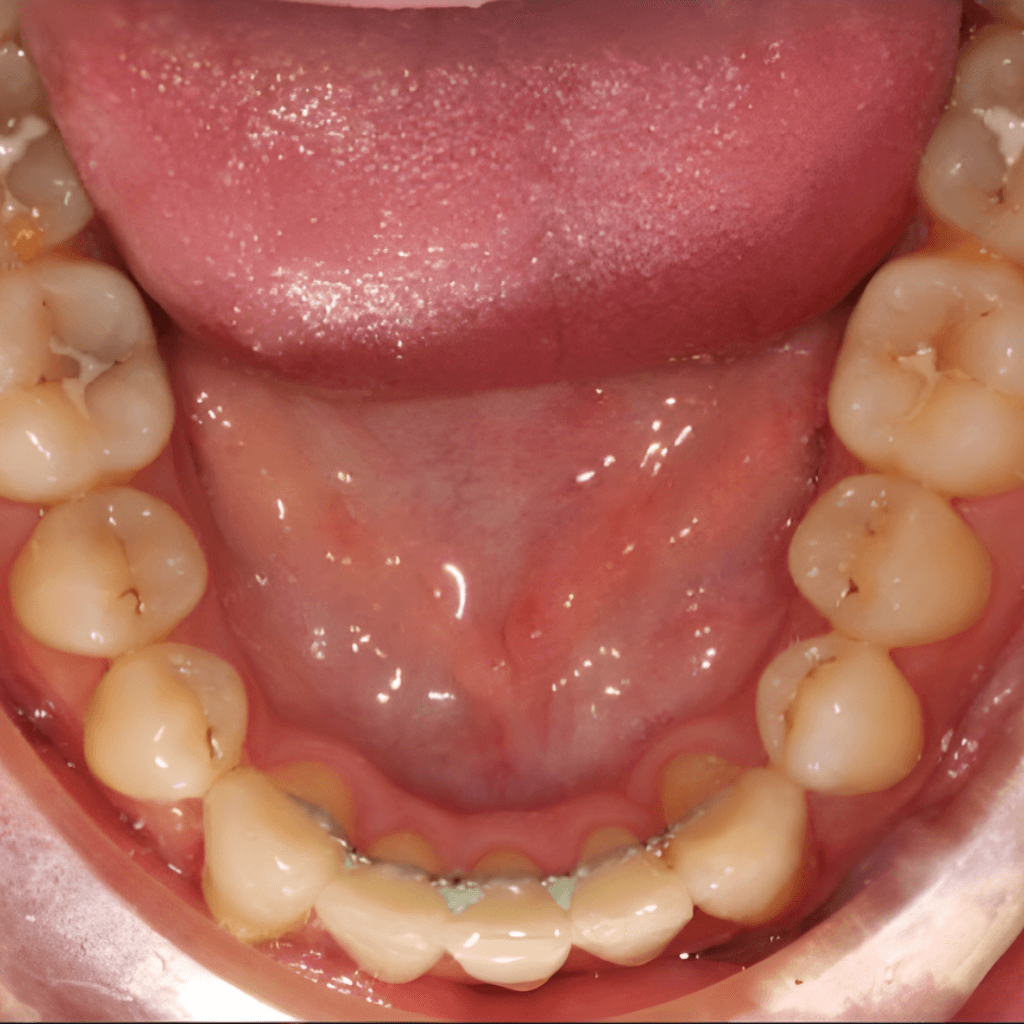
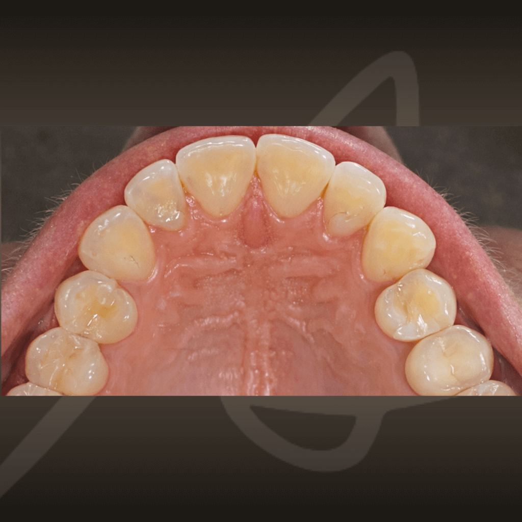
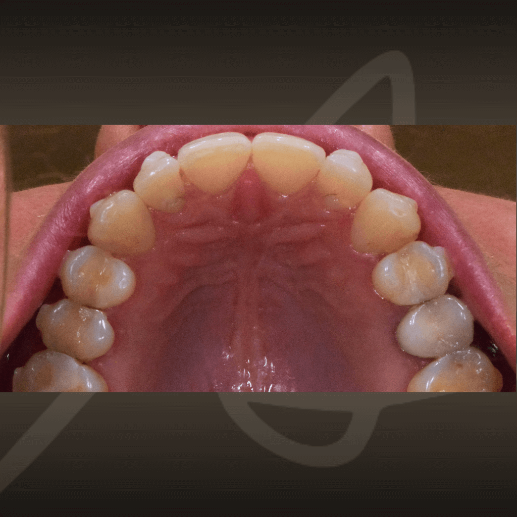
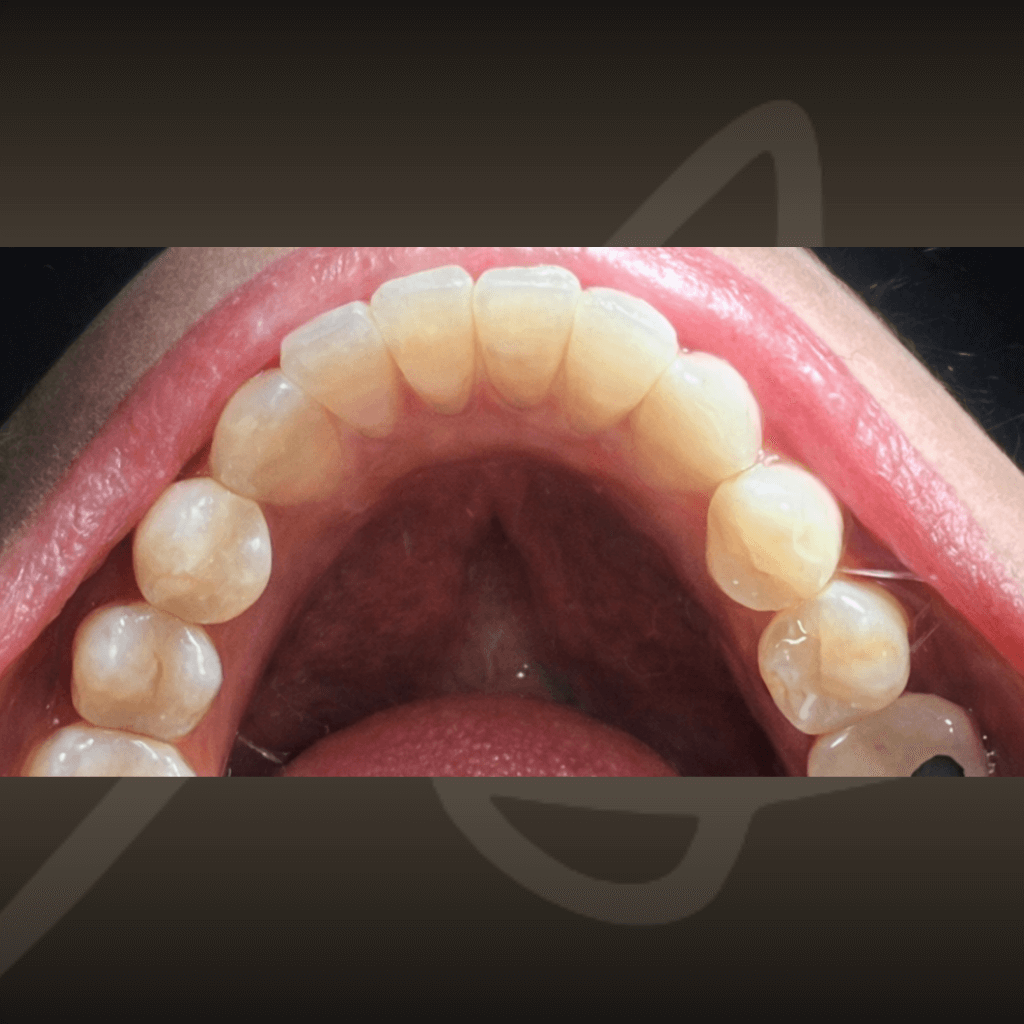
Ортодонтията не е само въпрос на подредба. Правилното лечение подобрява захапката, речта и създава стабилна основа за дългосрочно дентално здраве. Независимо от възрастта, ортодонтското лечение може да допринесе за по-добър функционален баланс и по-лесна поддръжка на зъбите във времето.






















