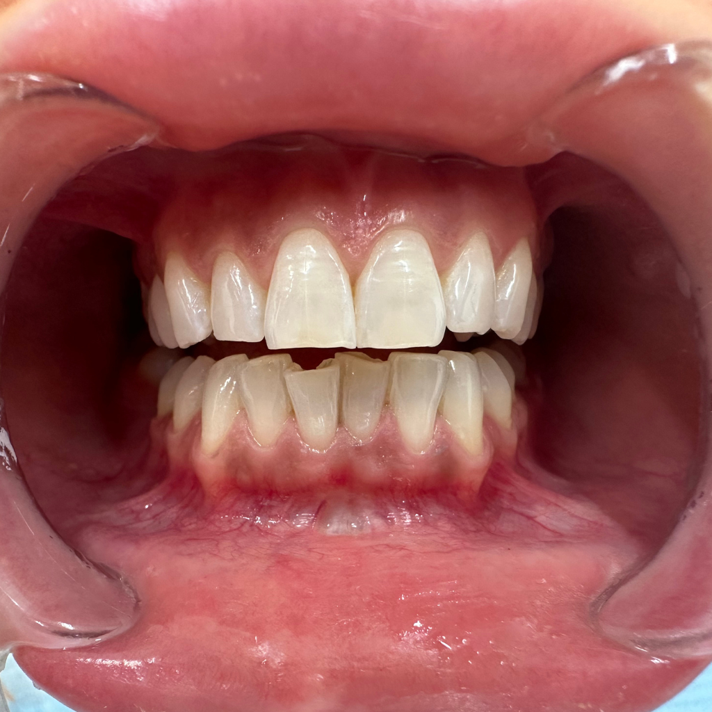
Естетика

Естетичната стоматология съчетава прецизност и функция. Чрез нея не просто се коригират несъвършенства – създава се хармония между зъби, устни и лице.

ЕСТЕТИЧНА СТОМАТОЛОГИЯ В НАШАТА КЛИНИКА

Естетичната стоматология обединява методи и техники, които коригират цвят, форма, подредба и пропорции на зъбите. Целта не е промяна на индивидуалността, а постигане на хармоничен и естествен резултат.

В Aesthetico естетичният подход е индивидуален и съобразен с функционалните и анатомични особености на всеки случай. Работи се с щадящи методи и материали, които позволяват прецизна корекция и дълготрайност на резултатите.

КАК ПРОТИЧА ПРОЦЕДУРАТА

Преглед и консултация

Процесът започва с обстоен преглед и разговор за желанията на пациента, последван от анализ на формата, цвета и пропорциите на зъбите в контекста на лицето.

Професионално почистване и избелване (при нужда)

Като част от подготовката се извършва почистване с ултразвук и аерополираща технология, което осигурява чиста и здрава основа. При необходимост може да се направи избелване за уеднаквяване и освежаване на цвета преди последващи естетични корекции.

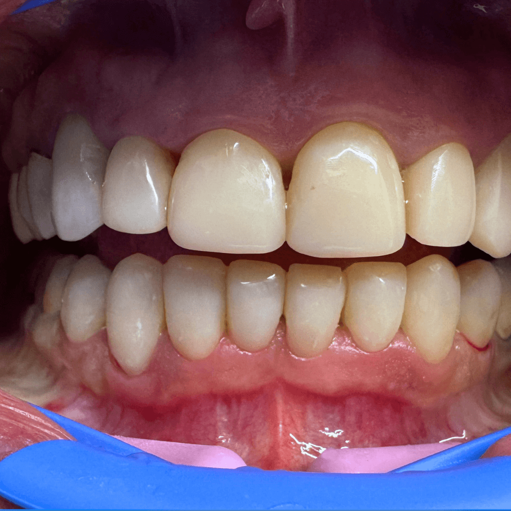
Избор на подход и материали

Изборът на подход и материали се прави след оценка на състоянието на зъбите и очаквания резултат. В зависимост от конкретния случай могат да се приложат процедури като избелване, поставяне на фасети, естетични възстановявания (bonding) или ортодонтско лечение.

Прецизна реализация

В нашата практика се прилагат щадящи методи на работа и висококачествени материали за постигане на естествен и хармоничен краен резултат.

Жена с къдрава коса и блестяща усмивка, замислена и игриво поставила пръст върху брадичката си

ЗА КОГО Е ПОДХОДЯЩО

Естетичната стоматология е подходяща при:

  • Промяна в цвета на зъбите
  • Неравности, отчупвания или износване на зъбите
  • Разстояния между зъбите
  • Леки несъвършенства в подредбата
  • Асиметрия или неравности при усмивка

Естетичната стоматология има отражение не само върху зъбите, но и върху цялостното излъчване и увереност.

имате въпрос?

ЧЕСТО ЗАДАВАНИ ВЪПРОСИ

Колко време отнема избеляването и има ли рискове?

Процедурата е с продължителност около 60 минути. Използват се щадящи, сертифицирани продукти, които не увреждат зъбния емайл. Възможна е временна чувствителност след процедурата, която обикновено отшумява бързо.

Какво представляват фасетите и за кого са подходящи?

Фасетите са тънки естетични покрития, поставяни върху предната повърхност на зъбите с цел корекция на форма, цвят или леки несъвършенства. Те се изработват индивидуално и се поставят по щадящ начин, като при необходимост се извършва минимално изпиляване за оптимално прилягане и дълготраен резултат.

Има ли дискомфорт след естетични процедури?

Процедурите се планират внимателно, така че да бъдат максимално комфортни. В повечето случаи те се понасят леко, с минимален или временен дискомфорт, най-често под формата на краткотрайна чувствителност към топло или студено, която отзвучава бързо.

Естетика

Естетичната стоматология съчетава прецизност и функция. Чрез нея не просто се коригират несъвършенства – създава се хармония между зъби, устни и лице.