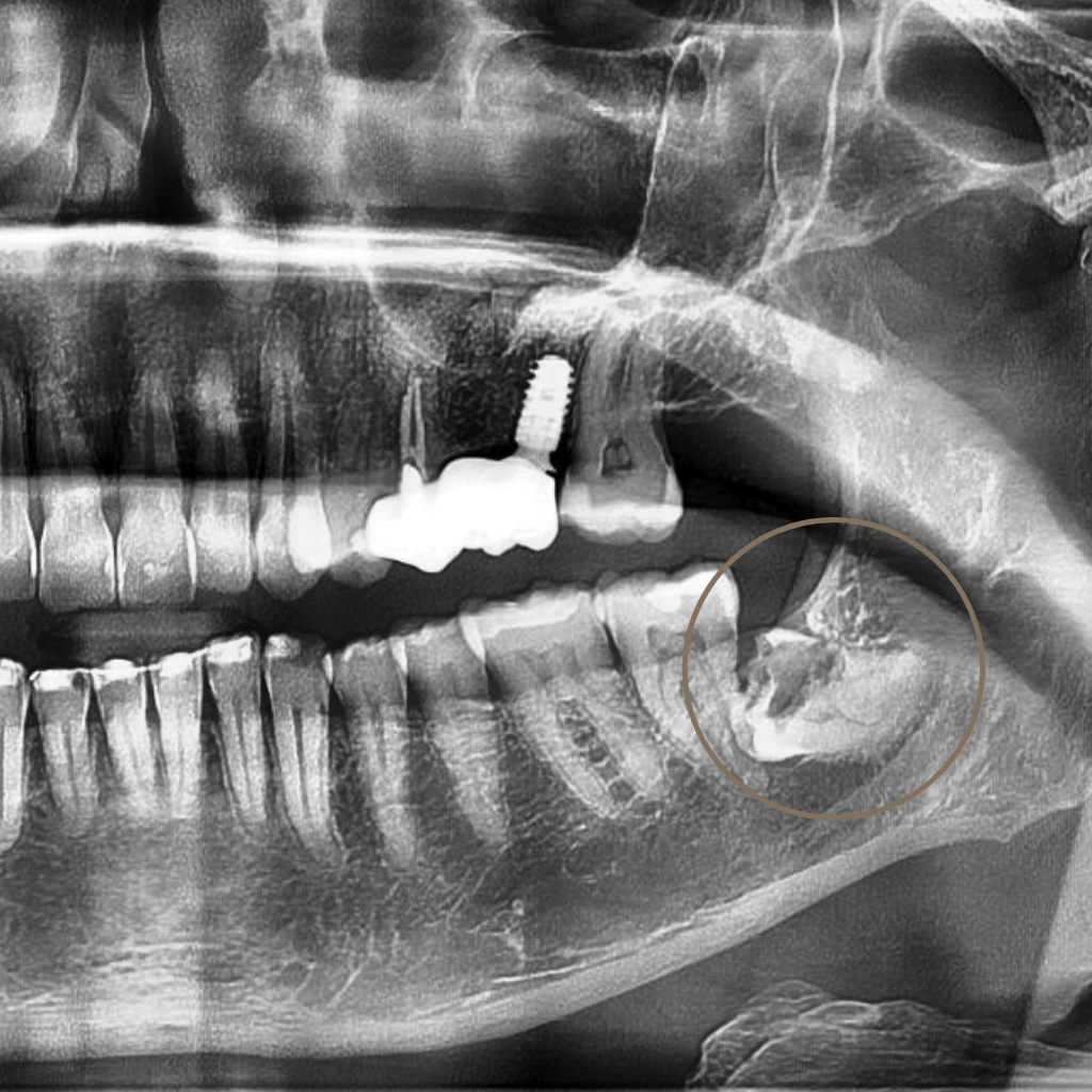
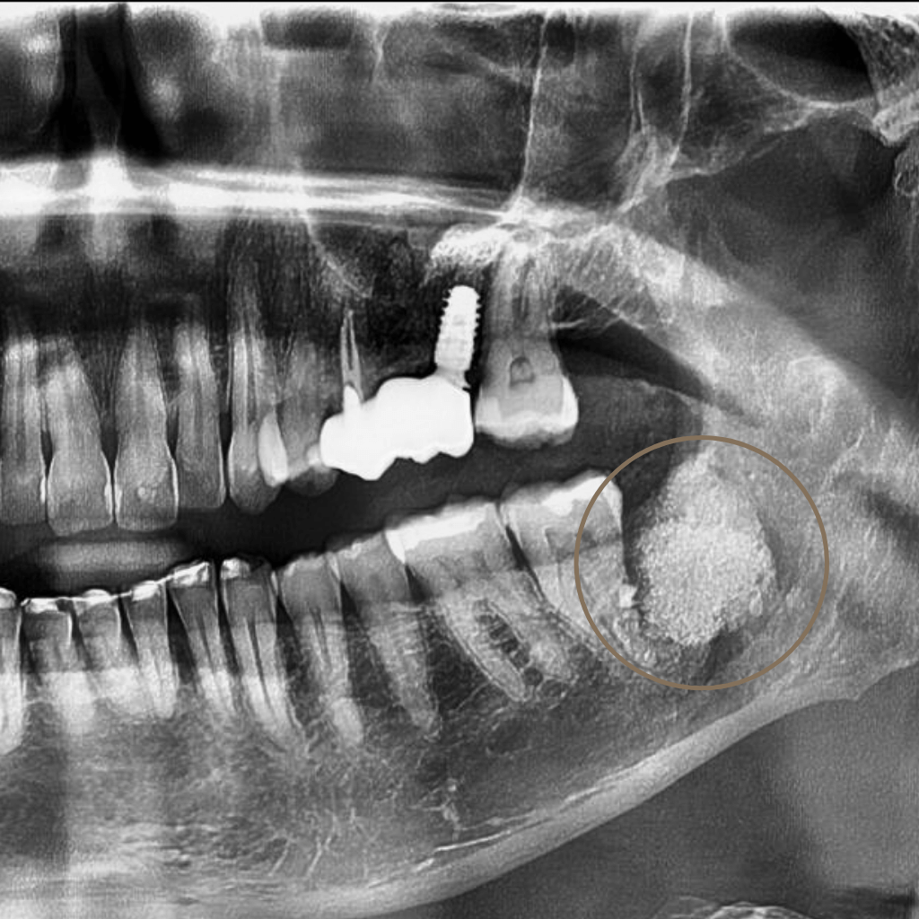
Екстракцията е хирургична процедура, при която зъбът се отстранява, когато неговото запазване не е възможно или би компрометирало цялостното орално здраве. В Aesthetico екстракциите се извършват след внимателна оценка и с ясна цел – лечение, облекчаване на болката и създаване на стабилна основа за последващи стъпки.




