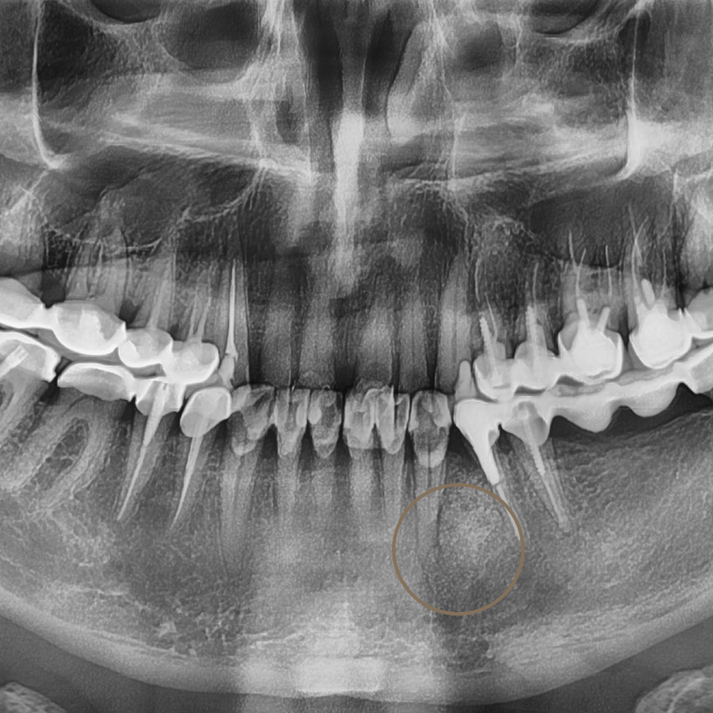
Зъб, който не е пробил напълно или е останал задържан в костта, се нарича ретиниран. Най-често това засяга мъдреците, но може да се отнася и за други зъби. В много случаи състоянието протича без симптоми, но може да доведе до болка, възпаление или увреждане на съседни зъби.
Когато ретинираният зъб създава или крие риск от възпаление, болка, увреждане на съседни зъби или затруднява хигиената в зоната, хирургичната намеса е препоръчителна. Най-често това се отнася за мъдреците, но ретенция може да се наблюдава и при други зъби, като кучешки или премолари.
В някои случаи ретинираният зъб може да остане безсимптомен за дълъг период. В Aesthetico решението за хирургична екстракция се взема индивидуално, след внимателна оценка на позицията на зъба и потенциалните рискове, включително при по-сложни анатомични ситуации.


