Редовната профилактика позволява поддържане на оптимално орално здраве и ограничаване на развитието на заболяванията, засягащи зъбите и венците.
Консервативно лечение
Консервативното лечение цели максимално съхраняване на естествената зъбна структура. Ранната и прецизна намеса позволява овладяване на кариеса и предотвратяване на болка, възпаление и последващи усложнения.
Ендодонтия
Когато зъбът е засегнат в дълбочина, целта не е просто да се премахне болката, а да се запази зъбът функционален и стабилен във времето. Ендодонтското лечение позволява това – прецизно, контролирано и щадящо.
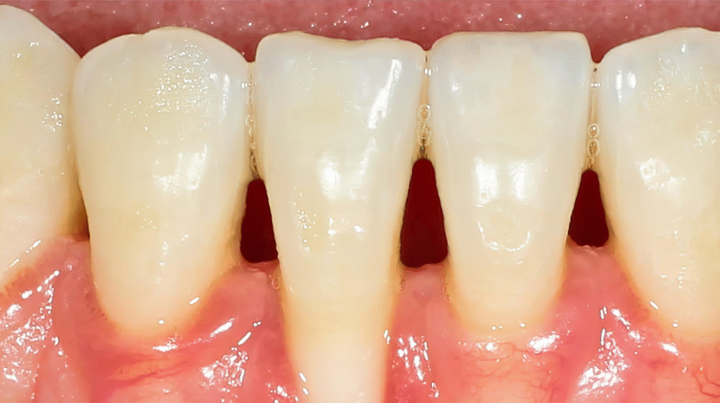
Пародонтология
Здравите венци са основата, върху която се изгражда оралното здраве. Пародонталното лечение е насочено към контрол на възпалението и запазване на поддържащите тъкани около зъбите – с грижа, прецизност и дългосрочна стратегия.
Протетика
Протетичното лечение съчетава наука и естетика, за да възвърне загубеното – зъби, захапка и увереност. В нашата клиника изработваме индивидуални протетични решения, които изглеждат естествено, усещат се комфортно и служат дългосрочно.
Естетика
Естетичната стоматология съчетава прецизност и функция. Чрез нея не просто се коригират несъвършенства – създава се хармония между зъби, устни и лице.
Ортодонтия
Ортодонтията не е само въпрос на подредба. Правилното лечение подобрява захапката, речта и създава стабилна основа за дългосрочно дентално здраве. Независимо от възрастта, ортодонтското лечение може да допринесе за по-добър функционален баланс и по-лесна поддръжка на зъбите във времето.
Детска стоматология
Грижата за детските зъби е основа за правилното развитие на захапката и доброто орално здраве в бъдеще. Ранните посещения помагат за изграждане на доверие и спокойствие още от първия контакт със зъболекаря.








